Absolute quantification by QconCAT

Rivers J, Simpson DM, Robertson DH, Gaskell SJ, Beynon RJ.(2007) Absolute multiplexed quantitative analysis of protein expression during muscle development using QconCAT. Mol Cell Proteomics. 6, 1416-1427. [PUBMED][PDF]
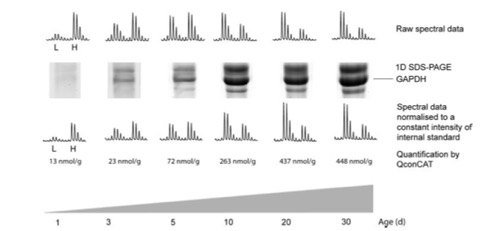
Stable isotope-labeled proteotypic peptides are used as surrogate standards for absolute quantification of proteins in proteomics. However, a stable isotope-labeled peptide has to be synthesized, at relatively high cost, for each protein to be quantified. To multiplex protein quantification, we developed a method in which gene design de novo is used to create and express artificial proteins (QconCATs) comprising a concatenation of proteotypic peptides. This permits absolute quantification of multiple proteins in a single experiment. This complete study was constructed to define the nature, sources of error, and statistical behavior of a QconCAT analysis. The QconCAT protein was designed to contain one tryptic peptide from 20 proteins present in the soluble fraction of chicken skeletal muscle. Optimized DNA sequences encoding these peptides were concatenated and inserted into a vector for high level expression in Escherichia coli. The protein was expressed in a minimal medium containing amino acids selectively labeled with stable isotopes, creating an equimolar series of uniformly labeled proteotypic peptides. The labeled QconCAT protein, purified by affinity chromatography and quantified, was added to a homogenized muscle preparation in a known amount prior to proteolytic digestion with trypsin. As anticipated, the QconCAT was completely digested at a rate far higher than the analyte proteins, confirming the applicability of such artificial proteins for multiplexed quantification. The nature of the technical variance was assessed and compared with the biological variance in a complete study. Alternative ionization and mass spectrometric approaches were investigated, particularly LC-ESI-TOF MS and MALDI-TOF MS, for analysis of proteins and tryptic peptides. QconCATs offer a new and efficient approach to precise and simultaneous absolute quantification of multiple proteins, subproteomes, or even entire proteomes.